曾常春1 , 王先菊1 , 郭周义1 ,2 , 刘友章3 , 刘颂豪1
(1.华南师范大学信息光电子科技学院光子中医学实验室,中国广东广州510631 ;
2.华南师范大学激光生命科学研究所, 中国广东广州510631 ;
3.广州中医药大学第一附属医院二内科, 中国广东广州510407)
【摘要】 研究发光二极管(light2emitting diode , LED) 直肠内照射对大鼠实验性溃疡性结肠炎(ulcerative colitis ,UC)的抗过氧化损伤以及促进结肠粘膜组织的修复作用。34只大鼠随机分成3组:正常对照组10 只、病理模型组12 只与病理模型+LED照射治疗组12 只。 研究中采用乙酸局部刺激复制大鼠UC模型,其中LED治疗组应用LED 结肠内照射,1日1次,共10 d。其后观察各组的病理变化,血清过氧化损伤水平。结果显示,LED 结肠内照射能够促使实验性溃疡性结肠炎的组织修复;显著降低溃疡性结肠炎大鼠血清MDA 水平、升高SOD 活性。实验表明LED 结肠内照射实验性溃疡性结肠炎大鼠具有抗过氧化损伤
作用以及促进结肠粘膜组织的修复作用。
溃疡性结肠炎(ulcerative colitis ,UC) 又称非特异性溃疡性结肠炎,是一种病因不明的直肠与结肠炎症性病变,病变范围主要限于大肠粘膜与粘膜下层。多见于20岁~40岁的青壮年,容易复发,且在治疗上有一定的难度,为难治性肠病[1]。根据近年的研究表明,在UC的发病中,遗传是患病的基础,免疫紊乱是致病的关键,而精神、感染、过敏等因素是发病的诱因[2 -3],以及伴随的过氧化所导致的炎症性损伤。
低强度光照射治疗具有各种生物效应,根据目前研究表明其对缓解局部的炎症性病变具有肯定的疗效,在临床中应用亦较广泛,如炎症、烧伤、疱疹、皮肤溃疡等[4-9],均表明其具有促进溃疡的修复以及减轻炎症反应的作用。LED为发光二极管( lightemiting diode) ,属于单色低强度光。本研究中我们应用大鼠UC 实验模型,观察了发光二极管结肠内局部照射对结肠组织的促使修复作用及对其血清过氧化损伤的影响,报道如下。
材料与方法
实验动物 SD 大鼠34 只,雌雄各半,体重200 g~240 g ,由广州中医药大学实验中心提供。自由饮水及进食。
分组、模型建立与治疗方法 34 只大鼠随机分成3 组:正常对照组10 只、病理模型组12 只与病理模型+LED 照射治疗组12只。实验中采用乙酸性局部刺激法复制溃疡性结肠炎大鼠模型:乙醚麻醉动物后,用直径2. 0 mm 的硅胶管由肛门轻缓插入深约6 cm~8 cm ,病理模型组与LED 治疗组沿硅胶管中注入5%冰乙酸1 mlP每只,正常组则注入0.9%NS 1 ml ,隔日一次,共5 次。模型复制成功后,LED 治疗组给予直肠内LED (波长:632 nm , 功率:5 mW/cm2 ) 照射:动物以10 %水合氯醛腹腔注射麻醉(300 mg/Kg) ,0.9 %NS 清洁灌肠后,将LED 光源由肛门导入到结肠内深度约6 cm~8 cm 处,进行结肠粘膜腔内照射,1 日1 次,每次30min ,共10 d ;病理模型组予假性照射。
观察指标 治疗结束后,静脉采血,分离血清,应用试剂盒检测血清SOD 活性与血清MDA 含量。处死动物,取出全结肠,纵向剪开,以4℃生理盐水冲洗掉肠内污物,大体上观察结肠粘膜组织损伤的情况,在病变最严重处切取一段长约0.5cm 的结肠,10%甲醛固定,病理切片,HE 染色,光镜下观察组织学变化。
统计检验方法 实验数据以x±s 表示,采用单因素方差分析检验,以P<0.05 为有统计学意义。
结 果
一般情况观察 大鼠建模后,出现腹泻,呈黄色稀便和(或) 肛周体毛被稀便沾染,或带有血水,体重下降,毛色失去光泽,精神倦怠,活动及进食明显减少等表现。实验中于复制模型的第5d死亡动物2只。
血清SOD 活性及MDA 含量变化比较 见表1,病理模型组较正常对照组血清SOD活性下降(P < 0.01) ,血清MDA 含量升高(P <0. 05) ;LED 治疗组较病理模型组SOD活性有所升高( P <0.05) ,血清MDA 含量下降(P <0.05) ;并且,LED治疗组与正常对照组相比血清MDA 含量无明显差别(P > 0.05) 。
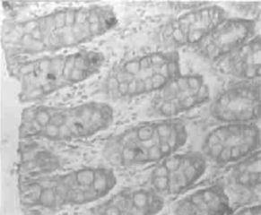
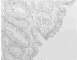
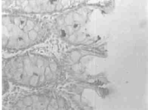
结肠组织病理变化 正常对照组大鼠结肠粘膜上皮完整,腺体排列整齐,粘膜血管纹理清晰【图1】。病理模型组大鼠结肠粘膜可见充血、水肿、糜烂、溃疡,腺体中杯状细胞减少,大量淋巴细胞、浆细胞、
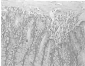
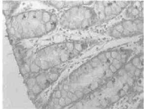
嗜酸性白细胞浸润【图2、3】;病理+ LED 治疗组大鼠均可见结肠粘膜下轻度水肿,局部区域粘膜较薄,腺体大小不一,呈新生状腺体,其粘膜下层有局灶性的肉芽组织增生(为溃疡修复处) ,溃疡粘膜上皮修复【图4、5】。
图1 结肠粘膜上皮完整,腺体排列整齐,纹理清晰(正常对照组,HE 3 200)
Fig.1 Normal constitution and gland of colonic mucous membrane(normal sample HE 3 200)
图2 结肠粘膜可见充血、水肿、糜烂、溃疡(病理模型组,HE 3 200)
Fig.2 Focal ulcers with hyperemia , edema and erosion(model sample HE 3 200)
图3 腺体细胞减少,大量炎性细胞浸润
(病理模型组,HE 3 200)
Fig.3 Gland reduction and severe leukocyte infiltration
(model sample HE 3 200)
图4 局灶性的肉芽组织增生修复,少量炎性细胞浸润(LED 治疗组,HE 3 200)
Fig.4 Focal plerosis of granulation tissue and mild leukocyte infiltration(sample with LED HE 3 200)
图5 肠粘膜下轻度水肿,腺体大小不一,少量炎性细
胞浸润
(LED 治疗组,HE 3 200)Fig.5 Mild edema , gland bad2distributed and mild leukocyte infiltration(sample with LED HE 3 200)
讨 论
溃疡性结肠炎的发病有免疫、遗传、感染、过敏、炎症介质等多种学说,近年来对UC 发病研究较多的是免疫功能紊乱及过氧化所导致的炎症损伤作用。在UC 的发病中存在若干细胞因子的参与[10] ,各种细胞因子对结肠的炎症刺激作用同样会影响结肠正常的动力[11] 各种细胞因子的综合作用而导致疾病的发生。自由基损伤亦是UC 发病的重要机制之一,Dubuquoy 等[12] 研究发现在炎症性肠病中存在粘膜过氧化物酶增生激活受体( PPAR-γ) 的异常表达,除表明这是一个病理特征之外,并提出这是一个新的药物治疗靶点。UC 的治疗一直相当棘手,西医及中医疗法虽然取得较大成效,但并未获得突破性进展。然而,UC 具有反复发作,根治较困难的特点,给我们临床工作带来了一定的障碍,寻找一种新型有效的治疗手段成了我们新的研究方向。LED 属于单色低强度光,具有低强度光的各种生物效应。Schaffer 等[13] 应用LED 辐射治疗防止肿瘤患者因各种放疗时诱发的溃疡、乳腺炎、伤口愈合延迟等副作用的研究表明,LED 的光生物调节作用具有减轻离子辐射治疗后的副作用。Leung 等人[14]利用大鼠脑缺血再灌注损伤模型研究了低强度激光对一氧化氮合酶(NOS) 活性的影响,发现脑缺血再灌注损伤后NOS 活性会明显增加,用低强度激光在伤后进行照射可抑制NOS 的表达和活性。Kim等[15]发现低强度激光照射能影响氧自由基的代谢,其作用效应依赖于照射剂量。同时,LED 为冷光源,可以产生各种波长的单色可见光,光子的静止质量上限是1.2×10- 51g ,其光生物调节作用没有毒副作用[16],不失为一种理想的新型治疗手段。本研究中我们通过乙酸性溃疡性结肠炎大鼠应用LED 结肠腔内直接照射治疗,观察LED 对其抗过氧化损伤及促进溃疡组织修复的作用。结肠内LED光辐射治疗除了对结肠粘膜上皮细胞等的直接作用外,还可通过结肠粘膜下的网状静脉丛结构吸收光子能量而对整个结肠炎症病变区产生治疗效果。本研究结果显示,LED 照射后,可以升高血清SOD 水平,降低血清MDA 含量;结肠组织病理检查结果亦显示LED 照射组局灶性的肉芽组织增生、腺体大小不一、炎性细胞的浸润少等特点,证明了LED 对实验性溃疡性结肠炎的抗氧化作用及促进修复作用。然而UC 的发病机制较复杂,简单的乙酸刺激模型无法模拟UC 各个方面的病理特点,亦不能全面评价LED 治疗的作用及探求其作用机制。本研究仅仅是说明了LED 对结肠炎症组织的修复作用以及抗过氧化损伤作用,为进一步研究需要应用复合模型,通过其免疫调整及抗组织损伤来进一步说明LED 的治疗疗效及其效应产生机制,为UC 的临床应用提供理论基础。
【References】
[1] ODZE R. Diagnostic problems and advances in inflammatory bowel disease[J] . Mod Pathol , 2003 , 16 (4) : 347-358.
[2] BONEN D K, CHO J H. The genetics of inflammatory bowel disease[J] . Gastroenterology , 2003 , 124 (2) : 521-536.
[3] AHMAD T, SATSANGI J , MCGOVERN D , et al. Review Article : The genetics of inflammatory bowel disease[J] . Aliment Pharm Therap , 2001 , 15 (6) : 731-748.
[4] WATBAN F A H , ANDRESB L. Polychromatic LED therapy in burn heating of non2diabetic and diabetic rats[J] . J Clin Laser Med Sur, 2003 , 21 (5) : 249-258.
[5] CONLAN MJ , RAPLEYJ W, COBB CM. Biostimulation of wound healing by low2energy laser irradiation - A review[J] .J Clin Periodontol , 1996 , 23 (5) : 4922496.
[6] DEHLIN O , ELMSTAHLS , GOTTRUP F. Monochromatic phototherapy in elderly patients : A new way of treating chronic pressure ulcers[J] . Aging Clin Exp Res , 2003 , 15 (3) :259-263.
[7] GUPTA A K, TELFER I , FILONENKO N , et al. The use of low2energy photon therapy in the treatment of leg ulcers-apreliminary study[J] . J Dermatol Treat, 1997 , 8 (2) : 103-108.
[8] GHAMSARI S M, TAGUCHI K, ABE N , et al. Evaluation of low level laser therapy on primary healing of experimentally induced full thickness teat wounds in dairy cattle [J] . Vet Surg , 1997 , 26 (2) :114-20.
[9] LAGAN KM, MCKENNA T, WITHEROWA , et al. Low2intensity laser therapy. combined phototherapy in the management of chronic venous ulceration : A placebo2controlled study[J] . J Clin Laser Med Sur , 2002 , 20 (3) : 109-116.
[10] MACDONALD TT, MONTELEONE G, PENDER SL. Resent development in the immunology of inflammatory boweldisease[J] . Scand J Immunol, 2000, 51 (1) : 2-9.
[11] MATTHEWDV , VICTOR E P , FABIO M, et al. Abnormal Motility in Patients With Ulcerative Colitis : The Role of Inflammatory Cytokines[J] . Arch Surg, 2002 , 137 :439-446.
[12] DUBUQUOY L , BOURDON C , PEUCHMAUR M, et al.Peroxisome proliferators2activated receptor ( PPAR) gamma :a new target for the treatment of inflammatory bowel disease[J] . Gastroenterol Clin Biol, 2000 , 24 : 719-724.
[13] SCHAFFER M, BONEL H , SROKA R , et al. Magnetic resonance imaging (MRI) controlled outcome of side effects caused by ionizing radiation, treated with 780 nm2diode laser2Preliminary results[J] . J Photoch Photobio B , 2000 , 59(1-3) : 1-8.
[14] LEUNGM C , LO S C , SIU F K, et al. Treatment of experimentally induced transient cerebral ischemia with low energy laser inhibits nitric oxide synthase activity and up2regulates
the expression of transforming growth factor-beta1[J] . Lasers Surg Med, 2002 , 31 (4) :283-288.
[15] KIM Y G, PAK S C , LEE S R. Hairless mouse epidermal antioxidants and lipid peroxidation assessed by He2Ne laser[J] . Lasers Surg Med , 2000 , 27 (5) :420-426.
[16] LUOJ , TU L C , HU Z K, et al. New experimental limit on the photon rest mass with a rotating torsion balance [J] .Phys Rev Lett , 2003 , 90 (8) : 081801.
(摘自: 激光生物学报第14 卷)

